Olivia G.

Olivia G.

Rédactrice spécialisée en santé naturelle depuis plusieurs années, j’explore les remèdes traditionnels et les solutions douces qui soutiennent l’organisme au quotidien tout en respectant son équilibre. J’analyse les gestes simples, l’alimentation, les plantes et les habitudes de vie qui peuvent soulager les petits maux et renforcer le bien-être sans excès ni promesses irréalistes.

Articles publiés

acupuncture aiguilles

Acupuncture : les maux que cette technique peut soigner

respiration mieux respirer stress angoisse anxiété détente relaxation

Astuce : comment mieux respirer pour être moins stressé ?

crise arthrose quels remèdes naturels

Comment soulager une crise d’arthrose ? Voici 2 remèdes naturels !

médicaments comprimés cachets

Médicaments dangereux : quels sont vos recours ?

nouilles konjac

Le konjac : bienfaits, utilisations et contre-indications de cet allié minceur

vision bébé

Que voit un nouveau-né lorsqu’il nait et comment évolue sa vision ?

homme enrhumé

Comment reprendre des forces après avoir été malade ?

melon smoothie

L’eau au melon : un remède bon et efficace pour mieux dormir et perdre du poids

mal à la tête maux

Maux de tête du matin : les 11 raisons possibles

lubrifiant naturel huile de coco

Huile de coco : 4 bonnes raisons de l’utiliser en bain de bouche

bikini

4 bonnes raisons de ne pas garder son maillot de bain mouillé sur soi

Une famille a mangé bio pendant 2 semaines, découvrez les effets

Pourquoi vous ne mettrez plus jamais de PQ sur la lunette des toilettes publiques

sécheresse vaginale - ELLINE PHOTO - iStock

Sécheresse vaginale : 9 causes encore trop méconnues

rouge

Couleur des règles : que dit-elle vraiment de votre santé ?

couleurs urine

Comment analyser votre urine pour savoir si vous êtes en bonne santé

poumons

Nettoyer ses poumons : 4 aliments que tous les fumeurs devraient consommer

reconnaître maladie d'Alzheimer

Alzheimer : 10 signes précurseurs à reconnaître

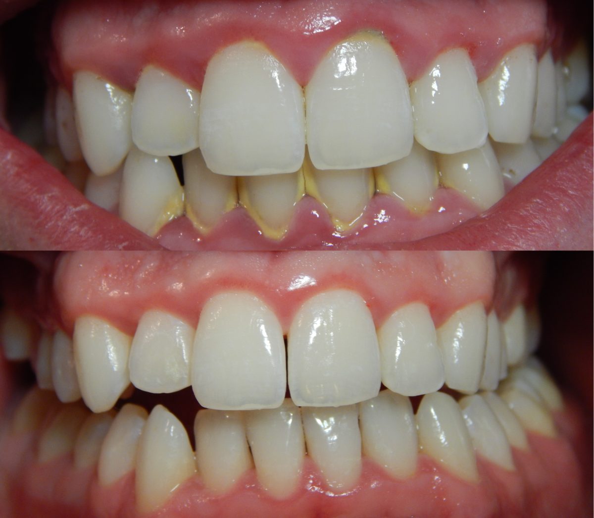
tartre dents

Tartre dentaire : 6 aliments à ne pas consommer pour l’éviter

coton tige

Comment se laver les oreilles sans coton-tige ?

maigrir poids jeûner - pixabay

Perdre du poids sans efforts : 26 astuces efficaces

canapé insomnie

Insomnie : 8 remèdes pour bien dormir

constipation

Constipation : 5 remèdes traditionnels et efficaces

nausée grossesse enceinte

Nausées de grossesse : 5 astuces pour les soulager

Back to Top